Skip to playerSkip to main content
  • 7 years ago
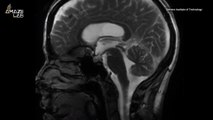
We recently developed a new method called amplified Flow Imaging, which uses an MRI algorithm to amplify the sub-voxel motions in brain phase contrast MRI scans and enables better visualization of vasculature motion. Pulsatile arterial motion is regarded as a crucial mechanical element. It links blood flow to CSF dynamics and brain motion, making it a prime candidate to investigate cerebrovascular brain diseases. However, a universal model of the motion is still lacking.
Be the first to comment
Add your comment

Recommended