Skip to player
Skip to main content
Search
Connect
Watch fullscreen
Like
Share
Bookmark
More
Add to Playlist
Report
lakewaysmiles
Follow
Like
Share
Bookmark
More
Add to Playlist
Report
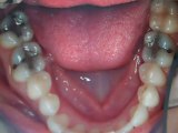
Crooked teeth -Veneers Austin,Tx-Lakeway Before an
15 years ago
Here's some before and afters of Porcelain Veneers used to straighten teeth. Visit www.lakewaysmiles.com for more information.
Category
š ļø
Lifestyle
Show less
Comments
Add your comment
Recommended
1:33
|
Up next
Front teeth gaps fixed - Veneers Austin, Tx- Lakew
lakewaysmiles
15 years ago
0:50
Dentures, Austin Tx, Lakeway Tx
lakewaysmiles
15 years ago
0:36
How to fix White Spots on Teeth Austin, Tx- Lakewa
lakewaysmiles
15 years ago
0:43
Dr Tejas Patel, Dentist Austin Tx, Dentist Lakeway
lakewaysmiles
15 years ago
0:50
Dentures Austin, Tx- Lakeway Before and after Phot
lakewaysmiles
15 years ago
1:28
Replacing Old Silver Fillings CEREC Austin Tx- Lak
lakewaysmiles
15 years ago
0:51
Former Aide Claims She Was Asked to Make a āHit Listā For Trump
Veuer
2 years ago
1:08
Muskās X Is āthe Platform With the Largest Ratio of Misinformation or Disinformationā Amongst All Social Media Platforms
Veuer
2 years ago
4:50
59 companies that are changing the world: From Tesla to Chobani
Fortune
2 years ago
0:46
3 Things to Know About Coco Gauff's Parents
People
2 years ago
1:18
USC vs. Colorado: Can Caleb Williams Earn a New Heisman Moment?
SportsGrid
2 years ago
1:04
Vic Mensa Reveals Celebrity Crush, Biggest Dating Pet Peeve & More on Speed Dating | Billboard News
Billboard
2 years ago
1:09
Hollywood Writers Reach āTentative Agreementā With Studios After 146 Day Strike
Veuer
2 years ago
1:26
Love is Blind stars admit they're burnt out from social media
Fortune
2 years ago
2:01
NHA Customers in Limbo as Company Faces Potential Merger
SportsGrid
2 years ago
2:55
Vanilla Ice Explains How the 90ās Shaped America
FACTZ
2 years ago
0:36
Amazonā Prime Video Will Show Commercials Starting Next Year
Veuer
2 years ago
11:13
Pokimane Answers The Web's Most Searched Questions
WIRED
2 years ago
4:16
BREAKING NEWS: Matt Gaetz Tells House Committee: 'I'm Not Going To Vote For A Continuing Resolution'
Forbes Breaking News
2 years ago
1:00
What's Popular on Uber Eats?
Stringr
2 years ago
2:50
MƄneskin Performs "HONEY" at MSG
Rolling Stone
2 years ago
12:13
Matt Rife Hilariously Roasts Your Dating Profiles | Cosmopolitan
Cosmopolitan USA
2 years ago
7:01
Kelly Clarkson Fights Back Against Brandon Blackstock In Devastating Divorce Battle
Life Stories By Goalcast
3 years ago
1:15
Netflix's 'Squid Game: The Challenge' Trailer Has 456 Real People Playing for $4.56 Million | THR News Video
The Hollywood Reporter
2 years ago
6:59
Chxrry22 Does ASMR with Matcha, Talks Using Music to Escape & Touring with The Weeknd
Fuse
2 years ago
Comments