Skip to player
Skip to main content
Search
Connect
Watch fullscreen
Like
Bookmark
Share
More
Add to Playlist
Report
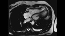
Video 2. Biventricular Broken Heart (Takotsubo Cardiomyopathy) in a Middle Aged Adult
Dr. Baris Durukan
Follow
11 years ago
Apical ballooning of the left and right ventricles are demonstrated.
Category
📚
Learning
Be the first to comment
Add your comment
Recommended
1:40
|
Up next
Doç. Dr. Barış Durukan-NTV
Dr. Baris Durukan
10 years ago
0:07
Biventricular Video 1. Broken Heart (Takotsubo Cardiomyopathy) in a Middle Aged Adult
Dr. Baris Durukan
11 years ago
0:51
Former Aide Claims She Was Asked to Make a ‘Hit List’ For Trump
Veuer
2 years ago
1:08
Musk’s X Is ‘the Platform With the Largest Ratio of Misinformation or Disinformation’ Amongst All Social Media Platforms
Veuer
2 years ago
4:50
59 companies that are changing the world: From Tesla to Chobani
Fortune
2 years ago
0:46
3 Things to Know About Coco Gauff's Parents
People
2 years ago
0:35
8 Things to Do in the Morning to Improve Productivity
Martha Stewart Living
2 years ago
2:11
Why You Should Remember Aretha Franklin
Goalcast
2 years ago
1:18
USC vs. Colorado: Can Caleb Williams Earn a New Heisman Moment?
SportsGrid
2 years ago
1:04
Vic Mensa Reveals Celebrity Crush, Biggest Dating Pet Peeve & More on Speed Dating | Billboard News
Billboard
2 years ago
1:09
Hollywood Writers Reach ‘Tentative Agreement’ With Studios After 146 Day Strike
Veuer
2 years ago
1:26
Love is Blind stars admit they're burnt out from social media
Fortune
2 years ago
2:01
NHA Customers in Limbo as Company Faces Potential Merger
SportsGrid
2 years ago
2:55
Vanilla Ice Explains How the 90’s Shaped America
FACTZ
2 years ago
0:36
Amazon’ Prime Video Will Show Commercials Starting Next Year
Veuer
2 years ago
11:13
Pokimane Answers The Web's Most Searched Questions
WIRED
2 years ago
4:16
BREAKING NEWS: Matt Gaetz Tells House Committee: 'I'm Not Going To Vote For A Continuing Resolution'
Forbes Breaking News
2 years ago
1:00
What's Popular on Uber Eats?
Stringr
2 years ago
2:50
MÃ¥neskin Performs "HONEY" at MSG
Rolling Stone
2 years ago
12:13
Matt Rife Hilariously Roasts Your Dating Profiles | Cosmopolitan
Cosmopolitan USA
2 years ago
7:01
Kelly Clarkson Fights Back Against Brandon Blackstock In Devastating Divorce Battle
Life Stories By Goalcast
2 years ago
1:15
Netflix's 'Squid Game: The Challenge' Trailer Has 456 Real People Playing for $4.56 Million | THR News Video
The Hollywood Reporter
2 years ago
6:59
Chxrry22 Does ASMR with Matcha, Talks Using Music to Escape & Touring with The Weeknd
Fuse
2 years ago
1:08
TCU Wins The Iron Skillet With A 34-17 Win Over SMU
D210SPORTS
2 years ago
5:03
Decades-old drainage system needs repairs
AccuWeather
8 hours ago
Be the first to comment