Skip to player
Skip to main content
Search
Connect
Watch fullscreen
Like
Bookmark
Share
More
Add to Playlist
Report
Inman Aligners in Hatfield Hertfordshire
aesthetics_herts
Follow
16 years ago
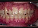
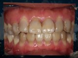
The inman aligner can straighten teeth in just 12 weeks, please call us on 01707 261 367 to book for your free consultation or visit http://www.aesthetics-dentistry.com/inman-aligners.html
Category
š ļø
Lifestyle
Be the first to comment
Add your comment
Recommended
0:46
|
Up next
Dentist For Seniors in Burlington: Caring For Senior Citizens
Fielding Dental Healthcare
6 years ago
0:45
Emergency Dentist Abington MA
Abington Family Dental Care
8 years ago
1:39
Sedation Dentist Abington MA
Abington Family Dental Care
8 years ago
0:45
Emergency Dentist Frederick MD
Douglas K. Tavenner, Jr., DDS, FAGD
8 years ago
1:56
Teeth Whitening in Hatfield, Hertfordshire, World Cup Offer
aesthetics_herts
16 years ago
1:59
Dental Implants in Hatfield, Hertfordshire
aesthetics_herts
16 years ago
2:12
Dental Porcelain Veneers in Hatfield, Hertfordshire
aesthetics_herts
16 years ago
1:00
Facial Fillers & Lip Enhancements in Hatfield Hertfordshire
aesthetics_herts
16 years ago
1:53
clear-braces-hertfordshire-invisalign
aesthetics_herts
16 years ago
0:51
Former Aide Claims She Was Asked to Make a āHit Listā For Trump
Veuer
2 years ago
1:08
Muskās X Is āthe Platform With the Largest Ratio of Misinformation or Disinformationā Amongst All Social Media Platforms
Veuer
2 years ago
4:50
59 companies that are changing the world: From Tesla to Chobani
Fortune
2 years ago
0:46
3 Things to Know About Coco Gauff's Parents
People
2 years ago
0:35
8 Things to Do in the Morning to Improve Productivity
Martha Stewart Living
2 years ago
1:18
USC vs. Colorado: Can Caleb Williams Earn a New Heisman Moment?
SportsGrid
2 years ago
1:04
Vic Mensa Reveals Celebrity Crush, Biggest Dating Pet Peeve & More on Speed Dating | Billboard News
Billboard
2 years ago
1:09
Hollywood Writers Reach āTentative Agreementā With Studios After 146 Day Strike
Veuer
2 years ago
1:26
Love is Blind stars admit they're burnt out from social media
Fortune
2 years ago
2:01
NHA Customers in Limbo as Company Faces Potential Merger
SportsGrid
2 years ago
2:55
Vanilla Ice Explains How the 90ās Shaped America
FACTZ
2 years ago
0:36
Amazonā Prime Video Will Show Commercials Starting Next Year
Veuer
2 years ago
11:13
Pokimane Answers The Web's Most Searched Questions
WIRED
2 years ago
4:16
BREAKING NEWS: Matt Gaetz Tells House Committee: 'I'm Not Going To Vote For A Continuing Resolution'
Forbes Breaking News
2 years ago
1:00
What's Popular on Uber Eats?
Stringr
2 years ago
2:50
MƄneskin Performs "HONEY" at MSG
Rolling Stone
2 years ago
Be the first to comment