Saltar al reproductorSaltar al contenido principal
  • hace 1 año
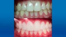
Si estás pensando en mejorar tu sonrisa con carillas, las fundas dentales hechas a medida, debes tener esto en cuenta.  
Las carillas son finos recubrimientos dentales que rellenan huecos u ocultan imperfecciones de los dientes. Son un procedimiento estético. 
Una vez que te pones carillas, no hay vuelta atrás porque el proceso implica retirar el esmalte natural de tus dientes naturales. 
Las carillas son irreversibles, pero no permanentes: suelen durar entre 5 y 15 años antes de necesitar una sustitución. 
Los dentistas advierten de una preocupante tendencia online que ha surgido debido a la popularidad de las carillas, con personas que afirman ser "expertos en carillas".
Estos profesionales sin licencia ofrecen carillas de bajo coste en Internet sin la formación ni la supervisión adecuadas. 
Los procedimientos de carillas no profesionales pueden provocar dolor intenso, pérdida de dientes y daños en los nervios.  
Para asegurarte de que las carillas te las va a poner un profesional cualificado, asegúrate de que trabaja en una clínica dental autorizada y no en un salón de belleza o un domicilio particular.
Transcripción
00:00¡Suscríbete al canal!
00:30¡Suscríbete al canal!
00:36¡Suscríbete al canal!
00:42¡Suscríbete al canal!
00:48¡Suscríbete al canal!
00:54¡Suscríbete al canal!
01:00¡Suscríbete al canal!
01:06¡Suscríbete al canal!
01:12¡Suscríbete al canal!
01:18¡Suscríbete al canal!
01:24¡Suscríbete al canal!
Comentarios

Recomendada