Saltar al reproductor
Saltar al contenido principal
Buscar
Iniciar sesión
Ver en pantalla completa
Me gusta
Añadir marcador
Compartir
Más
Añadir a la lista de reproducción
Denunciar
bd-prendas-con-mensajes-positivos-241019
Teletica
Seguir
hace 6 años
Categoría
🛠️
Estilo de vida
Sé la primera persona en añadir un comentario
Añade tu comentario
Recomendada
21:16
|
Próximamente
bd-causas-y-tratamientos-de-espolon-041019
Teletica
hace 6 años
10:39
bd-zapatos-ejecutivos-240519
Teletica
hace 7 años
43:29
bd-convulciones-y-posibles-causas-030220
Teletica
hace 6 años
18:19
bd-estilos-de-freidoras-de-aire-190220
Teletica
hace 6 años
24:26
bd-permiso-salida-menor-270819
Teletica
hace 6 años
34:19
bd-lesiones-en-la-piel-160719
Teletica
hace 6 años
32:40
bd-trampas-en-entrevistas-120319
Teletica
hace 7 años
2:00:55
Buen Día, 22 Julio 2024
Teletica
hace 1 año
2:32
bd-exceso-de-piel-parpados-270819
Teletica
hace 6 años
5:30
bd-figuras-de-desamparados-131219
Teletica
hace 6 años
22:27
bd-lesiones-en-piel-por-estrés-250619
Teletica
hace 6 años
8:53
bd-lesiones-por-frenillos-171219
Teletica
hace 6 años
13:56
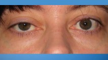
bd-parpado-caido-causas-y-tratamientos-211019
Teletica
hace 6 años
38:36
bd-soplo-en-el-corazón-120819
Teletica
hace 6 años
11:38
bdcomopreparartablasdulcesysaladas100519
Teletica
hace 7 años
11:27
bd-comida-rapida-saludable-041019
Teletica
hace 6 años
1:45
bd-queque-olla-de-cocimiento-lento-240619
Teletica
hace 6 años
16:56
bd-bebidas-con-plantas-medicinales-281019
Teletica
hace 6 años
2:01:30
Buen Día, 21 Agosto 2024
Teletica
hace 1 año
13:53
bd-prendas-con-proteccion-solar-170120
Teletica
hace 6 años
42:40
bd-presion-alta-personas-jovenes-190719
Teletica
hace 6 años
4:43
bd-conozca-rio-cuarto-070220
Teletica
hace 6 años
55:09
Edición sabatina de Telenoticias 22 noviembre 2025
Teletica
hace 6 horas
2:19
tn7-cruz-roja-costarricense-aplica-suero-antiofidico-por-primera-vez-en-la-historia-221125
Teletica
hace 7 horas
0:31
ext-tecnico-de-guadalupe-quiebra-puerta-en-liberia-video-ccdr-liberia-221125
Teletica
hace 7 horas
Sé la primera persona en añadir un comentario