Skip to player
Skip to main content
Search
Connect
Watch fullscreen
Like
Bookmark
Share
More
Add to Playlist
Report
Why Do Dentures Lose Their Fit?
Totalimagedentistry
Follow
11 years ago
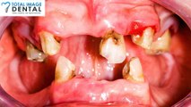
http://totalimagedental.com/dentures Why do dentures lose their fit? Bones and Gums over the years shrink, and this shrinkage causes gaps between teeth making dentures lose their fit
Category
🗞
News
Be the first to comment
Add your comment
Recommended
0:56
|
Up next
Total Image Dental Anesthesia Options for Dental Treatment
Totalimagedentistry
11 years ago
1:38
Mrs. Tracy Researched Total Image Dental Online
Totalimagedentistry
10 years ago
0:51
How Long Do I Have to Wait To Get My Dentures?
Totalimagedentistry
10 years ago
2:00
Mrs. Lilian Dental Experience At Total Image Dental
Totalimagedentistry
10 years ago
1:06
Can You Make Partials Without The Metal Hooks?
Totalimagedentistry
10 years ago
0:52
How much do dental implants cost?
Totalimagedentistry
11 years ago
0:57
When Should I Start Bringing My Kids to The Dentist?
Totalimagedentistry
11 years ago
0:57
How Often Do I Have To Visit My Dentist?
Totalimagedentistry
11 years ago
2:20
Dr. Saab Full Mouth Rehab In One Day
Totalimagedentistry
11 years ago
0:55
Getting a Beautiful Smile
Totalimagedentistry
11 years ago
0:58
What are Dental Bridges? by Total Image Dental
Totalimagedentistry
11 years ago
2:24
What are Dental Implants? by Total Image Dental
Totalimagedentistry
11 years ago
0:50
How Long Does The Whole Dental Implant Process Take?
Totalimagedentistry
11 years ago
0:55
Replacing My Worn Teeth In Houston, TX
Totalimagedentistry
11 years ago
1:09
How Do I know If I am A Good Candidate For Dental Implants?
Totalimagedentistry
11 years ago
2:01
Total Image Dental's Testimony From Mr. Jim In Houston, TX
Totalimagedentistry
11 years ago
0:55
How Does Invisalign Work? by Total Image Dental
Totalimagedentistry
11 years ago
1:07
What are Dental Bridges? by Total Image Dental
Totalimagedentistry
11 years ago
0:51
Former Aide Claims She Was Asked to Make a ‘Hit List’ For Trump
Veuer
2 years ago
1:08
Musk’s X Is ‘the Platform With the Largest Ratio of Misinformation or Disinformation’ Amongst All Social Media Platforms
Veuer
2 years ago
4:50
59 companies that are changing the world: From Tesla to Chobani
Fortune
2 years ago
0:46
3 Things to Know About Coco Gauff's Parents
People
2 years ago
0:35
8 Things to Do in the Morning to Improve Productivity
Martha Stewart Living
2 years ago
2:11
Why You Should Remember Aretha Franklin
Goalcast
2 years ago
1:18
USC vs. Colorado: Can Caleb Williams Earn a New Heisman Moment?
SportsGrid
2 years ago
Be the first to comment