Skip to playerSkip to main content
  • 12 years ago
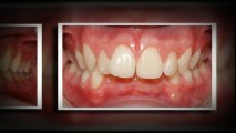
http://www.woodhilldentalspecialties.com Dallas Orthodontics treatment is about getting the right care at the right time in the most efficient, comfortable, and rewarding way possible.
Woodhill Dental Specialties
8355 Walnut Hill Lane, Suite 100
Dallas
Be the first to comment
Add your comment

Recommended