Skip to playerSkip to main content
  • 10 years ago
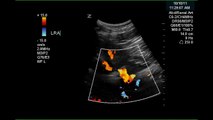
Color Doppler and pulsed Doppler demonstrate a stenotic portion of the renal artery. Parvus tardus is evident in Doppler wave=forms in the renal parechyma.\r
\r
\r
\r
\r
\r
\r
\r
Color and pulsed Doppler as well as gray-scale imaging demonstrated normal blood flow in both kidneys. Acceleration times demonstrated normal renal arterial .
Be the first to comment
Add your comment

Recommended